¿Cuándo es el mejor momento para iniciar un tratamiento de ortodoncia?
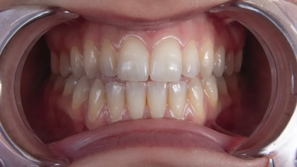
Descubre las señales clave que indican que es hora de visitar al ortodoncista y cómo un diagnóstico temprano puede marcar la diferencia.
Descubre las señales clave que indican que es hora de visitar al ortodoncista y cómo un diagnóstico temprano puede marcar la diferencia.
Conoce los fundamentos del Sistema OISE y cómo está revolucionando la práctica ortodóntica en Latinoamérica.
La succión digital, la respiración oral y otros hábitos pueden alterar el desarrollo de la mordida. Aprende a identificarlos.